Page 1 - 5NRTA US 00200906
Basic HTML Version
View Full Version
Table of Contents
Table of Contents
Page 2
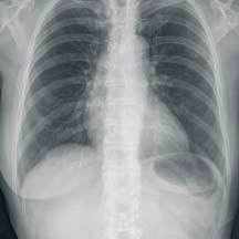
CR30-X
Uncompromising
image quality
your
compact
table top CR system
Computed Rad i ogr aphy